ఐఎన్ఐ సెట్| వైద్య విద్యలో ఎండీ, ఎమ్మెస్, డీఎం, ఎంసీహెచ్, ఎండీఎస్ కోర్సుల్లో ప్రవేశాల కోసం నిర్వహించే ఐఎన్ఐ సెట్ జూలై సెషన్ పరీక్ష తేదీని ఎయిమ్స్ ప్రకటించింది. ఈ జాతీయ స్థాయి పరీక్షను జూలై 22న నిర�
చెన్నై : మధురై జిల్లాలో తలపెట్టిన ఎయిమ్స్ ప్రాజెక్టు నిర్మాణ పనులను వేగవంతం చేయాలని కోరుతూ తమిళనాడు ముఖ్యమంత్రి ఎంకే స్టాలిన్ ప్రధాని నరేంద్ర మోదీకి శనివారం లేఖ రాశారు. ఎయిమ్స్ మధురై ప్ర�
న్యూఢిల్లీ: కరోనా వైరస్ కోసం పూర్తిస్థాయిలో లేదా కనీసం సింగిల్ డోసు వ్యాక్సిన్ వేసుకున్న వారికి వైరస్ సోకిన సందర్భాలు ఉన్నా.. వాళ్లలో ఎవరూ చనిపోలేదని ఆలిండియా ఇన్స్టిట్యూట్ ఆఫ్ మెడికల్ సైన్�
ఎయిమ్స్| ఆలిండియా ఇన్స్టిట్యూట్ ఆఫ్ మెడికల్ సైన్సెస్ (ఎయిమ్స్), న్యూఢిల్లీలో ఖాళీగా ఉన్న స్టాఫ్ నర్స్, ఫీల్డ్ వర్కర్, ఫీల్డ్ అటెండెంట్ పోస్టుల భర్తీకి నోటిఫికేషన్ విడుదల చేసింది. ఆసక్తి కల�
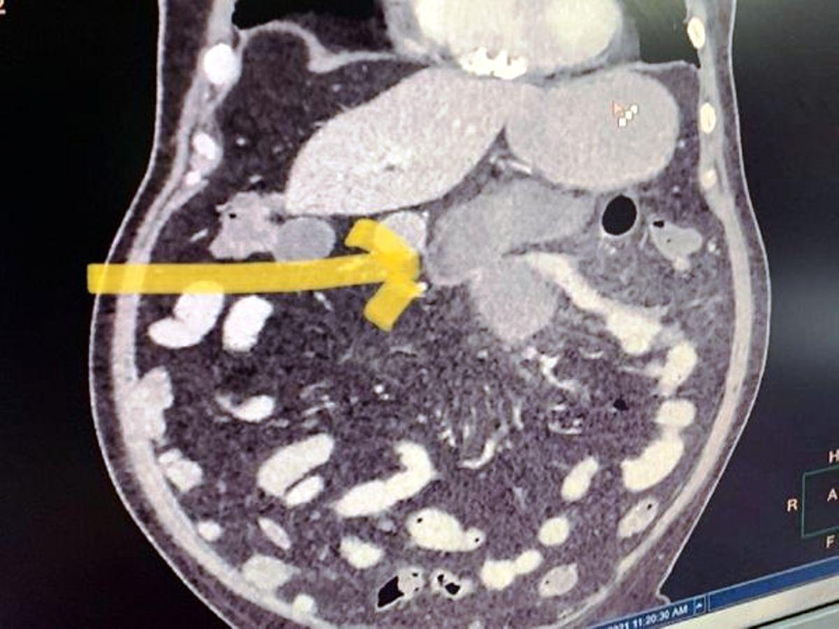
బ్లాక్ ఫంగస్ పెరుగుదలకు ఇవీ కారణాలు..
కరోనాతోపాటు ప్రజలను భయపెట్టే రీతిలో బ్లాక్ ఫంగస్ కేసులు నమోదు కావడానికి కారణాలపై ఢిల్లీ ఎయిమ్స్...
పూర్తిగా టీకాలు తీసుకున్నా వారు కూడా మాస్కులు ధరించడం, నిర్ణీత భౌతిక దూరం కొనసాగించాలని ఆలిండియా ఇన్స్టిట్యూట్ ఆఫ్ మెడికల్ సైన్సెస్ (ఎయిమ్స్) డైరెక్టర్ డాక్టర్ రణదీప్ గులేరియా సూచించారు
హరిద్వార్ : దేశవ్యాప్తంగా కరోనా సెకండ్ వేవ్ ప్రతాపం చూపుతోంది. ఉత్తరాఖండ్ లోని రిషీకేష్ ఎయిమ్స్ లో 110 మంది వైద్యులు, వైద్య సిబ్బందికి కొవిడ్ -19 పాజిటివ్ గా నిర్ధారణ అయింది. వీరందరికీ కరోనా వైరస్ వ్య
మంగళగిరి ఎయిమ్స్| ఆంధ్రప్రదేశ్లోని మంగళగిరిలో ఉన్న ఆలిండియా ఇన్స్టిట్యూట్ ఆఫ్ మెడికల్ సైన్సెస్ (ఏఐఐఎంఎస్) వివిధ డిపార్ట్మెంట్లలో ఖాళీగా ఉన్న ఫ్యాకల్టీ (గ్రూప్-ఏ) పోస్టుల భర్తీకి నోటిఫి
న్యూఢిల్లీ: స్వల్ప కోవిడ్ లక్షణాలున్నవారు సీటీ స్కాన్లు చేయించుకోవాల్సిన అవసరం లేదని, ఎక్స్రే తీస్తే చాలని అఖిలభారత వైద్యవిజ్ఞాన సంస్థ ఎయిమ్స్ డైరెక్టర్ రణదీప్ గులేరియా తెలిపారు. సీటీ స్కాన్ కేవలం కొ�